
提到“肺转移”,很多人的第一反应是反复治疗、周期漫长。但在湖南省肿瘤医院,一次高精度放疗,就为一位患者同时解决了三个微小病灶,把复杂问题处理得高效而精准。
诊疗难点:微小、多发、毗邻危机器官
来自邵阳40岁的患者彭女士,曾因左大腿滑膜肉瘤接受过系统治疗。术后复查时,却发现双肺出现了三个新的转移灶。
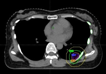
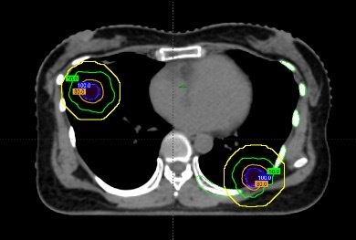
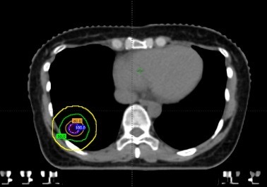
这三个病灶有几个共同特点:一是体积很小,直径均不到1厘米;二是位置分散,分别位于不同肺叶;三是其中一个紧贴肋骨,几乎没有“安全距离”。
这也意味着治疗必须非常“拿捏分寸”:剂量低了,肿瘤清不干净;剂量高了,又可能伤到肋骨,带来疼痛甚至骨折风险。传统放疗在这种情况下,往往会有所顾虑。
技术破局:把放疗变成“精细雕刻”
面对这样的难题,湖南省肿瘤医院胸部放疗二科胡英教授团队联合放疗综合技术部,采用了EDGE速锋刀立体定向放疗。
简单来说,这项技术就像一把“无形的手术刀”,不用开刀,就能在体内精准锁定肿瘤进行打击。
但真正的关键,在于“精细”两个字。
在治疗前,团队通过四维CT对三个病灶进行精准定位,尤其是紧贴肋骨的那个病灶,连与肋骨之间极其细微的间隙都被清晰标注出来。
随后进入最核心的剂量设计环节。医生与李忠伟、雷大明物理师反复推演射线路径和强度分布,把高剂量区域严格控制在肿瘤范围内,同时让剂量在极短距离内迅速下降。可以理解为,在体内完成了一次“毫米级雕刻”:肿瘤被精准覆盖,而近在咫尺的肋骨却被保护在安全范围内。



一站式完成:效率与负担双优化
与很多人想象不同,这样高难度的治疗并不需要反复进行。
依托速锋刀系统的高效率,这次治疗在一次疗程中就完成了对三个病灶的全部照射。对患者来说,不仅减少了多次往返医院的时间成本,也降低了整体治疗费用,整个过程更加轻松、可承受。
彭女士治疗过程顺利,仅出现轻微疲乏,无放射性肺炎等常见并发症,更无肋骨及胸膜相关不适,生活质量未受影响。
专家观点:精准放疗正在改变选择
胡英教授表示,这个病例的意义不仅在于“完成了一例复杂治疗”,更在于提供了一种新的思路:对于体积小、数量有限、位置特殊的转移瘤,有时可以通过精准放疗实现一次性清除,而不必依赖反复手术或长期拖延。
换句话说,过去常见的“两难”——既要彻底消灭肿瘤,又要保护正常组织,如今正在被技术逐步打破。
从“控制”到“清除”:治疗正在变得更有温度
随着速锋刀等精准放疗技术的成熟应用,肿瘤局部治疗的边界正在被不断拓宽。对于不适合手术、或不愿接受多次侵入性治疗的患者来说,这种高精度、低创伤的方式,正在成为越来越重要的选择。
从“尽量控制”到“精准清除”,变化的不只是技术,还有患者的生活质量和治疗体验。湖南省肿瘤医院也正通过一次次实践,让肿瘤治疗更有分寸——既有力度,也有温度。
潇湘晨报·晨视频记者刘畅 通讯员陈燕欣 彭璐
新闻线索爆料通道:应用市场下载“晨视频”客户端在线配资交易网址,进入“晨意帮忙”专题;或拨打晨视频新闻热线0731-85571188。
明道配资提示:文章来自网络,不代表本站观点。